骨が足りない方のインプラント埋入手術
SURGERY- さいのき歯科 ホーム
- 骨が足りない方のインプラント埋入手術
骨不足でインプラント埋入ができない
と言われたことがある方へ
LACK OF BONE
骨量不足の方でもインプラント手術は可能です
インプラントを埋入するには、一定の顎の骨の厚さ・高さが必要です。そのため、「顎の骨が足りないためインプラント埋入ができない」と言われた方もいらっしゃるのではないでしょうか。
当院では、新たに骨を増やしたり作ったりすることによって、骨が足りない状態の患者様にもインプラント埋入手術をお受けいただけるよう体制を整えています。具体的には、「サイナスリフト(上顎洞底挙上術)」と「GBR法(骨再生誘導法)」という治療方法で骨を増やします。

当院ではサイナスリフト手術を行なう患者様には手術の安全性・確実性を高めるため提携病院にて血液検査・CT撮影・心電図を、お撮りいただいております。CTデータを元に骨格の3D模型を作製することで、骨の形状をミリ単位で具体的に把握することができます。



骨が少ない方へのインプラント埋入手術 IMPLANT SURGERY
サイナスリフト(上顎洞底挙上術)
上顎の骨の厚さが足りない場合、埋入したインプラントが上顎洞(サイナス)という空洞に突き抜けてしまう可能性があるため、上顎の骨に対する再生手術「サイナスリフト」を行ないます。
治療では、上顎の骨の側面に穴をあけ、上顎洞底部の粘膜(シュナイダー膜)を持ち上げて隙間を作り、そこに自家骨(患者様ご自身の骨)や骨充填材を詰め込みます。上顎の骨の厚さが5mm以下と、極端に足りない場合にも用いることができる治療法です。

-
歯肉と骨の切開、顎洞底の挙上
STEP
歯が抜けてそのまま放置すると、時間の経過とともに骨の吸収や上顎洞の拡大が進みます。この場合、サイナスリフトを行なう必要があり、まず歯肉と骨を切開し、上顎洞底部と歯槽骨の間の粘膜を持ち上げて隙間を作ります。
-
STEP
骨充填材とインプラントの埋入・縫合
できた隙間に、自家骨や骨充填材を詰め込みます。同時にインプラントを埋入し、骨の再生およびインプラントと骨が結合するのを待ちます。インプラントの埋入は、骨が作られた後に行なう場合もあります。
-
STEP
上部構造(人工歯)の取り付け
インプラントと骨が結合したら、インプラントに上部構造を取り付けて治療は完了です。サイナスリフトは手術範囲が大きく、治療期間も長くなるものの、上顎の骨の厚さが極端に足りない場合にもインプラント埋入治療が可能となります。
GBR法(骨再生誘導法)
GBR法も顎の骨の厚さが不足している場合に行なう治療法です。GBR法では、顎の骨が不足している部分に、粉砕した自家骨や骨充填材を詰め、生体材料でできた専用のメンブレン(人工膜)で覆います。これにより、歯肉などの柔らかい組織が混入しなくなるため、骨の再生が促進されます。個人差があるものの、数ヵ月で顎の骨が再生され、埋入したインプラントの安定性が保たれます。

-
骨組織が欠損している状態
STEP
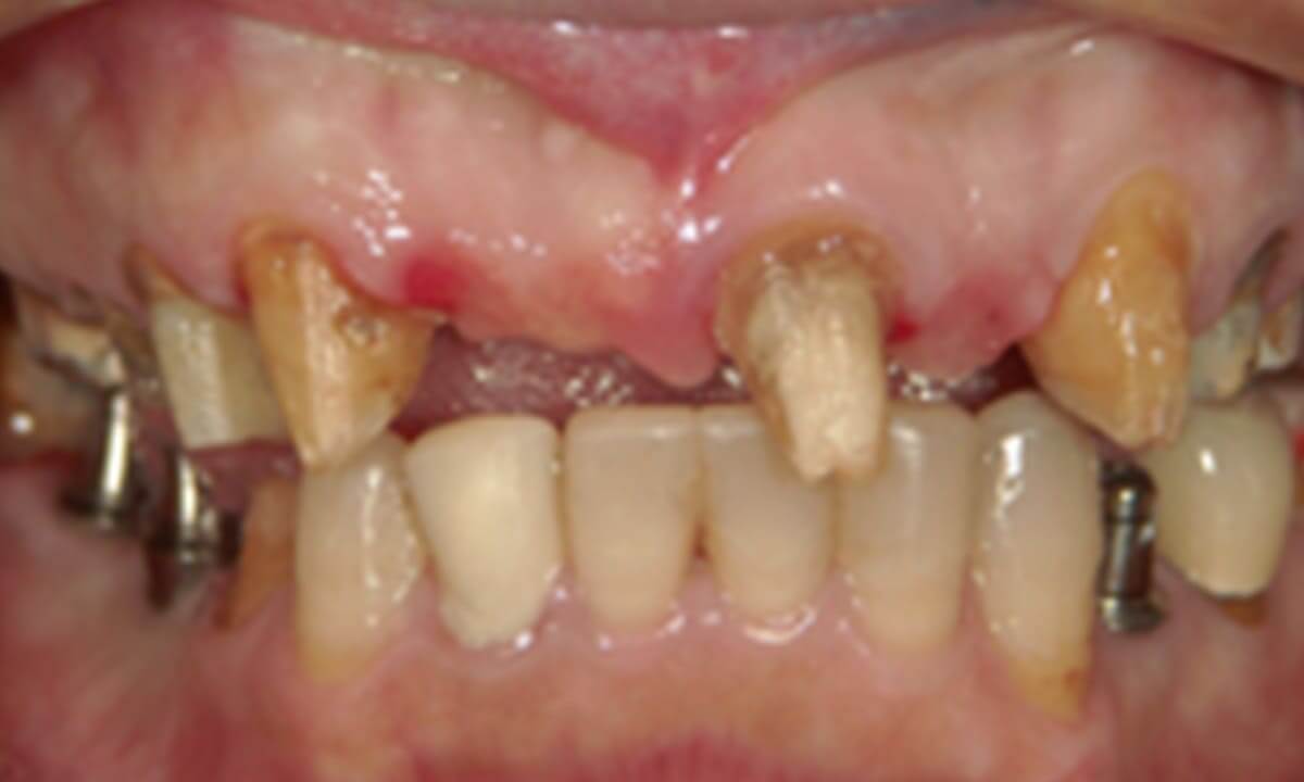
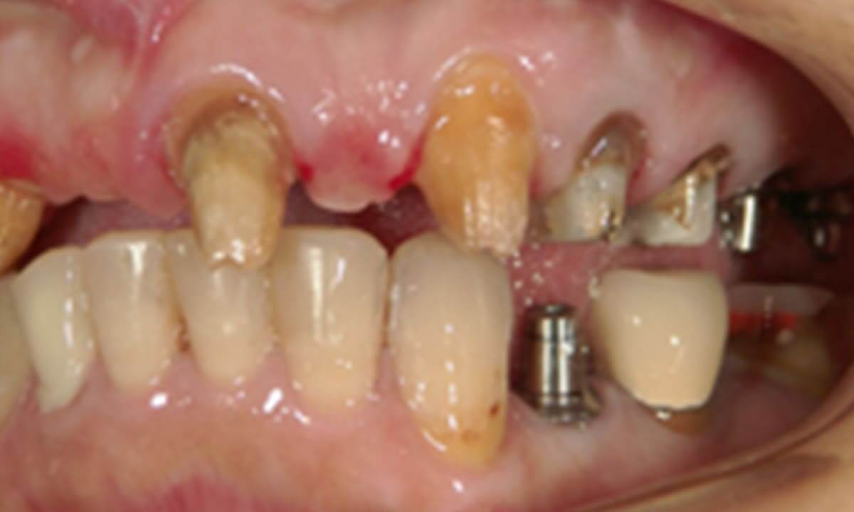
歯が抜けたり歯周病が進行していたりすると、徐々に顎の骨が痩せていき、インプラント埋入に必要な骨の厚さが不足します。この場合、インプラントを埋入しても、歯肉や骨から露出してしまいます。
-
STEP
インプラントの埋入
歯が抜けている部分に、インプラントを埋入します。しかし、顎の骨の吸収が著しいため、インプラントの表面が歯肉から露出しています。土台となる顎の骨の安定性が保たれていない状態です。
-
STEP
自家骨または骨充填材を入れ、メンブレンで覆う
顎の骨が不足している部分に、粉砕した自家骨や骨充填材を詰め、生体材料でできたメンブレンで覆います。メンブレンが動かないように、固定用のピンを使用するケースもあります。
-
STEP
歯肉を戻し、骨の再生を待つ
メンブレンで覆ったら、歯肉を元に戻して骨の再生を待ちます。メンブレンのおかげで、歯肉などの軟らかい組織が混入しなくなるため、骨の再生が促進されます。個人差があるものの、数ヵ月で顎の骨が再生されます。
-
STEP
上部構造の取り付け
骨が再生し、インプラントが固定されたら、上部構造を作製して装着します。必要な骨が再生されたことで、歯肉の形態も美しく仕上がります。治療に数ヵ月かかるものの、顎の骨が不足している場合にもインプラント埋入治療が可能となります。
治療症例 CASE
インプラント、サイナスリフト、セラミック冠による全顎の審美治療
年齢・性別 | 45才・女性 |
---|---|
主訴 | 歯が取れて食べられない、きれいにしたい。 |
診断名/おもな症状・治療内容 | 嚼障害 審美障害 根管治療と同時に歯周初期治療、のちプロビジョナルしサイナスリフト、補綴、インプラント治療を行なう。 |
治療期間 | 約2年 | 治療回数 | 50回 |
---|
費用(税込) | 上下全顎審美治療350万円 |
---|---|
この治療にともなうリスク・副作用 | ・サイナスリフトによる副鼻腔炎の恐れ。 ・小手術を含む処置のため全身状態の悪い方には難しいです。 |
治療前

埋入後レントゲン

治療後

治療前

治療後

治療前

治療後

インプラント、サイナスリフト、セラミック冠による全顎の審美治療
年齢・性別 | 60才 |
---|---|
主訴 | 歯が抜けて食べられない、きれいにして欲しい。 |
診断名/おもな症状・治療内容 | 咀嚼障害 審美障害 根管治療と同時に歯周初期治療、のちプロビジョナルしサイナスリフト、補綴、インプラント治療を行なう。 |
治療期間 | 2年 | 治療回数 | 40回 |
---|
費用(税込) | 270万円 |
---|---|
この治療にともなうリスク・副作用 | ・サイナスリフトによる副鼻腔炎の恐れ。 ・小手術を含む処置のため全身状態の悪い方には難しいです。 |
治療前

埋入後レントゲン

治療後

当院使用の医療機器・医薬品、治療等に関する概要、一般的なリスク・副作用
歯科用インプラントシステムおよび同材料を用いた治療について
- ・「オッセオスピード EV」「オッセオスピード プロファイル EV」は薬機法(医薬品医療機器等法)において承認された医療機器であり、歯の欠損部位の顎骨内に埋植し、歯科用補綴物を支持することによって咀嚼機能を回復させる機器となります。
- ・この機器を使用して行なう治療は自費診療(保険適用外)となり、保険診療よりも高額になります。
- ・事前に根管治療(神経の処置)やコア(土台)の処置が必要となることがあります。
- ・治療では歯を削ることがあります。また、知覚過敏を発症することがあります。
- ・抜髄(神経の処置)や抜歯が必要になることがあります。
- ・抜歯や外科処置をともなう場合、出血や腫脹(しゅちょう)を生じることがあります。
- ・治療で歯肉を移植する場合、二次的な出血・疼痛・腫脹(しゅちょう)が見られることがあります。
- ・治療後、自発痛、咬合痛、冷温水痛を生じることがあります。
- ・歯ぎしり・食いしばりなどの癖や噛み合わせによっては、補綴物が破損することがあります。
- ・セラミック製の補綴物は、金属製の補綴物よりも歯を削る量が多くなることがあります。
- ・噛み合わせ・歯ぎしりの強い方は、セラミックの破損を防止するため、マウスピースをおすすめすることがあります。
■オッセオスピード EV
販売名:オッセオスピード EV
医療機器承認番号:22800BZX00381000
一般的名称:歯科用インプラントシステム
医療機器クラス分類:高度管理医療機器
製造販売会社:デンツプライシロナ株式会社
■オッセオスピード プロファイル EV
販売名:オッセオスピード プロファイル EV
医療機器承認番号:22900BZX00322000
一般的名称:歯科用インプラントシステム
医療機器クラス分類:高度管理医療機器
製造販売会社:デンツプライシロナ株式会社
歯科インプラント用治療計画支援プログラムおよび同材料を用いた治療について
- ・「シンプラント」は薬機法(医薬品医療機器等法)において承認された医療機器であり、画像診断装置などから得た情報をコンピューター処理して診断や治療計画の作成を支援し、インプラントを適切な位置に埋入するための外科手術用器具を設計する機器となります。
- ・この機器を使用して行なう治療は自費診療(保険適用外)となり、保険診療よりも高額になります。
- ・サージカルガイド(手術用テンプレート)を作製することで、インプラントの埋入位置・方向・角度・深さの精度と正確性を向上させられます。
- ・低侵襲での治療が可能ですが、術後に腫れや痛みが現れることがあります。
■シンプラント
販売名:シンプラント
医療機器承認番号:23100BZX00032000
一般的名称:歯科インプラント用治療計画支援プログラム
医療機器クラス分類:管理医療機器
製造販売会社:デンツプライシロナ株式会社